
大家好,我是南京醫科大學第二附屬醫院骨科副主任醫師王伯堯,從事骨科臨床工作十余年,擁有豐富的骨科臨床經驗,主要研究方向為骨科手術機器人的開發與臨床應用,今天跟大家介紹踝關節骨折的幾種常見類型及其在X影像上的表現。接下來跟普愛醫療科普小編一起來了解下吧!
【醫療科普】踝關節骨折在X影像上的表現
踝關節骨折在X影像上的表現有很多種。如內踝骨折和外踝骨折,我們可以在影像上看到骨折處的骨折線是不連續的。還有后踝的骨折,內踝、外踝、后踝聯合在一起發生的骨折,我們稱之為“三踝骨折”,這些都是在X影像上能夠顯示出來的。

內踝骨折

外踝骨折

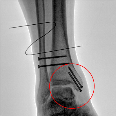
后踝骨折

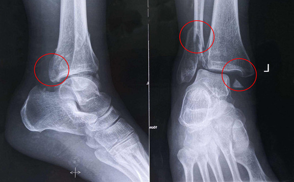
三踝骨折
【醫療科普】Pilon骨折
有一種特殊類型的踝關節骨折,可能在X影像平片上就不能顯示出來,它就是脛骨的關節面往里塌陷,我們又稱之為叫“Pilon骨折”。當它往里塌陷后,我們在X影像平片上可能看不出來它是否塌陷,但是我們在CT上可以360°看到踝關節的影像,這樣就可以看出患者是否存在踝關節塌陷的骨折。同樣道理,我們在做Pilon骨折手術的時候,普通二維的X影像并不能判斷我們手術復位情況的好壞,這個時候如果醫生手上有能夠照三維影像的工具,那么對于醫生的準確手術是非常有好處的。

*個體有差異,患者應以醫院診斷為準。
三維影像 助力復雜手術準確治療
希望本期醫療科普對您有用,咱們下期再見啦!


