X射線成像技術在口腔醫學領域發揮著非常重要的作用。隨著X射線成像技術的發展,也逐漸從模擬技術到如今的數字化成像,這些成像技術包括牙片機、口腔全景機、數字化口腔CBCT等設備。那數字化口腔CBCT、牙片機、口腔全景機這三者之間有什么區別?
一、牙片機

牙片機通常由X射線發生裝置及其支撐部件組成,配合口內影像接收器使用。用于對牙齒進行X射線攝影,獲得影像供臨床診斷用。比較簡單,一般可以同時拍1到4顆牙齒的2D影像。廣泛應用于牙體、牙髓和牙周病等口腔臨床領域,但受限于較小的成像視野,牙片機無法獲得牙齒全部的影像,一般不會被用于正畸或種植相關的診療。
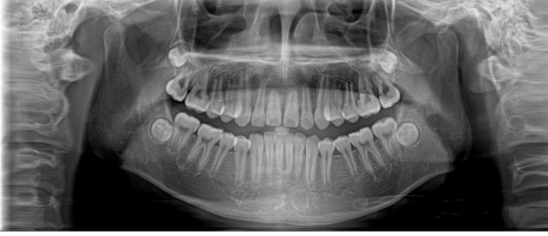
二、全景機

全景機基于體層攝影原理設計而成,全景攝影時,根據口腔頜面部的解剖特點,X線球管圍繞人體頭部選擇約120°,從一側顳下頜關節到另一側顳下頜關節,最后一次性獲得全口牙齒的2D圖像,使頜骨及全口牙體層攝影在一幅圖片上呈現左右展開的平面圖。
全景機具有觀察全面、操作簡便、兒童及老弱患者容易接受的優點。然而,全景機的缺點也非常明顯:
1.相較牙片機,全景成像中牙齒內部的清晰度和細節明顯要略遜一籌;
2.由于是曲線體層成像,其圖像有比較嚴重的畸變失真,同樣也不可避免的具有影像重疊。
因此,全景機主要用于觀察所有牙齒的形態、位置及頜骨內情況,為牙齒正畸矯正、牙齒修復提供圖像依據,不太適合用于對牙齒結構成像清晰度要求非常高的領域。
三、數字化口腔CBCT

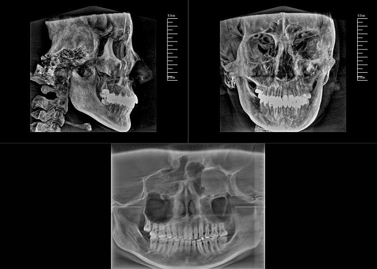
CBCT,全稱“錐束計算機斷層掃描(Cone-Beam Computed Tomography,CBCT)”,由球管和平板探測器組成。與全科CT的閉環圓孔設計不同,數字化口腔CBCT采用開放式結構以保持其靈活性。
對于口腔內科疾病,牙片和全景片已具有較高診斷效果;但對于牙體牙髓病,2D成像較容易發生影像重疊的情況,無法進一步明確根管和其他周圍組織的三維信息,容易出現漏診或誤診根裂的情況。這就需要三維斷層成像,即數字化口腔CBCT。
數字化口腔CBCT是從三維的角度,即矢狀位、冠狀位和橫斷位來顯示病變組織和正常組織結構,有效的避免了2D圖像固有的缺陷,如正常組織器官的影像重疊,投射角度變化所致的影像扭曲、變形等,大大提高了診斷能力。
數字化口腔CBCT能在十幾秒時間內完成患者口腔掃描,進而生成高精度的三維影像,徹底解決了牙片機、全景機等傳統口腔X射線設備影像重疊、畸變的問題??梢?60°全方位立體觀測牙床的骨質密度、牙槽骨本身的高度、寬度等數據,不僅能重建整個顱面區的結構,對頜面骨質結構進行測量,而且還能重建精細的解剖細節。

隨著數字化口腔CBCT的臨床應用越來越廣泛,其優勢越發的突出,現在市場上銷售CBCT的廠家也越來越多,競爭激烈,如何能挑選出一款合適的產品,除了關注產品本身的優勢特點,其品牌、價格和售后服務也同樣重要。普愛醫療作為口腔CBCT的生產廠家,在專業的影像領域已深耕多年,其推出的一款數字化口腔CBCT設備——PLX3000A,在投入市場之后,用戶反饋良好,如果您對該產品感興趣的話,可咨詢:400-025-6366。


