拍口腔CT是在口腔治療時常見的一種檢查方式,很多人擔憂做口腔CT輻射會不會很大,拍攝離大腦這么近,對大腦的健康會不會產生影響,那么,口腔治療的過程中為什么要拍口腔CT?口腔CT的輻射到底對人體有多少影響呢?
首先,我們的牙根是埋在牙槽骨和牙周膜里面的,就像樹根扎根在土壤中一樣,肉眼是看不到的。因此,如果牙齒出了問題,就需要有“透視”功能的口腔CT來檢查。

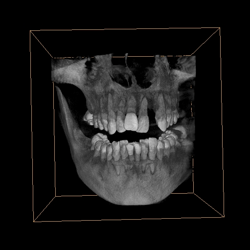
要了解牙齒的整體情況,必須拍攝全景片;要了解個別牙根及周圍變化,則可以選擇拍攝小牙片;要判斷牙槽骨是否符合種植條件,或者了解埋伏阻生齒的三維位置以及其他頜骨內病變組織的形態大小時,則需要進一步拍攝口腔CT。口腔CT在治療前用于發現病變程度、范圍;治療中引導治療、確定治療范圍和治療深度;治療后觀察療效。拔智齒、做根管治療、牙周病、種植牙、牙齒矯正等都需要進行拍片。因此,拍片對口腔醫生診斷牙病,設計治療方案,采取治療措施,判斷預后都有重要意義。
那么,口腔CT的輻射到底對人體有多少影響呢?
其實我們在日常生活的每時每刻,都處于輻射中。根據國際放射防護委員會(IRPA)提供的信息,每人每年受到的輻射劑量大約在2.5毫西弗(1毫西弗=1000微西弗)左右,這個數值受地域緯度的影響而波動。其中大約80%來源于自然界,20%來源于人工輻射。
口腔CT檢查時,主要是針對口腔內部,屬于一種立體的錐形束檢查方式,放射的范圍特別小,精確度高,而且檢查的時間比較短,短時間內的輻射不會對人體造成影響。具體的輻射量與患者所使用的儀器的類型、掃描的時間以及掃描參數的設定,都是有關系的,但是都遠遠低于國家規定的安全值,所以單次的口腔CT并不會對人體產生明顯的危害。
因此,拍攝口腔CT是必要的,而檢查產生的射線對身體的影響也是微乎其微的,大家不必過度擔心輻射會影響身體健康哦。


