隨著人口老齡化的加重,很多醫院的骨科和疼痛科的就診人數持續上升,在檢查的過程中,我們經常會看到這樣一款設備——動態DR。那你知道什么是動態DR嗎?動態DR是一款多項功能復合的DR,具備數字化攝影、數字化透視、數字化胃腸、數字化造影等功能。它滿足各類臨床應用,全面兼顧骨關節、呼吸、消化及生殖泌尿臨床檢查,以及透視下定位、透視下穿刺等介入放射影像成像等檢查。
動態DR與靜態DR相比有哪些優勢?
不同于常規靜態DR只能進行平片攝影檢查,動態DR可以滿足多種臨床檢查需求,包括靜態檢查、透視檢查、造影檢查、脊柱及下肢全長拼接檢查,相較于靜態DR具有豐富的臨床應用,且動態DR檢查更準確、直觀,擺位攝片效率極大地提升,大大節省拍片時間。
隨著動態數字化X線攝影技術的進一步發展,動態DR有望全面取代常規靜態DR,從根本上改變普通數字化X線攝影漏診與誤診的臨床弊端,極大提升DR診斷的準確性。

普愛醫療引領行業發展趨勢,自主研發專為大視野臨床應用打造的PLX8600平板動態DR,突破性的17*34英寸動態平板,整板拍攝不拼接,呈現更準確的長骨影像,有效簡化影像科室檢查流程,提高診斷精度,降低患者吸收的輻射劑量。
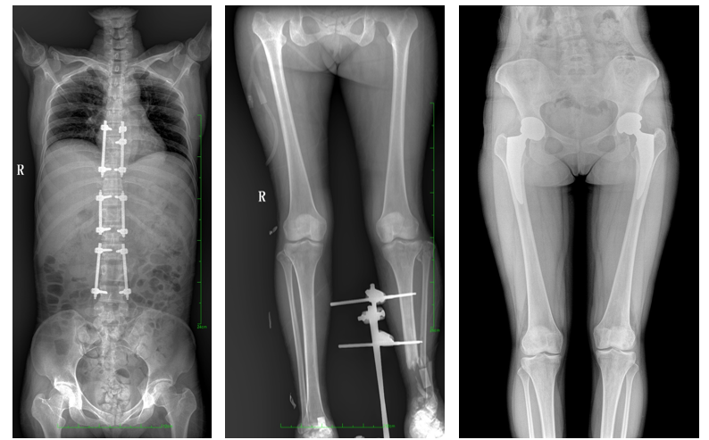
全脊柱一次成像 不拼接
17"*34"有效視野,是市面大尺寸平板的2倍,一次成像不拼接。相較于多張攝影再軟件拼接的DR設備,PLX8600解決了拼接圖像存在密度不均勻,拼接處圖像配準和放大效應等問題,給臨床帶來了真正的大視野影像解決方案,高清畫質,準確成像不失真,可一次性覆蓋全脊柱或雙下肢影像。PLX8600大視野平板動態DR攝影速度快,患者可以更快的完成檢查,且單次攝影輻射劑量是常規多張攝影再軟件拼接DR的1/2或1/3,低劑量給患者更多關愛。

大視野攝影/透視 一機多用
除常規靜態攝影外,PLX8600大平板具備動態透視和點片功能,透視采集功能可支持大視野、多角度的可視化觀察。通過可視化的動態影像,配合點片功能,能夠很好的觀察復雜部位病灶,有效的抓取關鍵幀,降低患者多次攝片的概率,安全又高效。如:全脊柱狀態評估、長骨關節活動度、下肢靜脈造影瓣膜功能評估、消化道功能評估、脊髓造影等更多大視野臨床應用,多面手給醫生更多驚喜。

PLX8600動態DR超大視野范圍,一次成像不拼接,減少拍片次數,縮短拍攝時間,降低患者的輻射劑量吸收。全面應用于臨床各科室,可應用于體檢科、內科、外科、骨科、創傷科、急診科等。如果您想了解更多大視野平板動態DR產品優勢,歡迎咨詢400-025-6366。


