
-
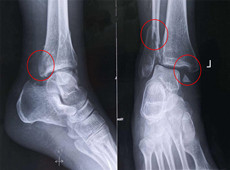
【醫療科普】踝關節骨折的主要類型及其影像學表現
大家好,我是南京醫科大學第二附屬醫院骨科副主任醫師王伯堯,從事骨科臨床工作十余年,擁有豐富的骨科臨床經驗,主要研究方向為骨科手術機器人的開發與臨床應用,今天跟大家介紹踝關節骨折的幾種常見類型及其在X影像上的表現。接下來跟...
發布時間:2022-05-19 16:58:39

-
2022普愛醫療線上合作研討會產品盤點之——平板三維C形臂
為了順應疫情防控政策,普愛醫療于5月13日舉辦了線上合作研討會,會議的主要亮點包括公司宣傳、產品推介、合作交流、客戶服務等等,當然,最受大家關注的就是產品推介環節啦!本次線上研討會,普愛醫療隆重推出幾款明星產品:平板三維...
發布時間:2022-05-19 10:01:08

-
【普愛醫療】線上招商會重磅產品:一體式移動平板C形臂
醫療器械行業更迭,瞬息萬象,如何力破重圍,制勝未來?普愛醫療著力打造“終端+經銷商+營銷+售后服務”矩陣,實現共生共贏!...
發布時間:2022-05-18 09:06:41

-
預見 視界|普愛醫療線上合作研討會圓滿收官
當前,數字化浪潮方興未艾,信息化、網絡化、數字化交織演進,萬物互聯正在影響著人們的日常生活,數字經濟也正在加速進入細分場景應用化的新時代。借助本年度新產品的陸續出新,國家政策引發的行業大轉型等契機,普愛醫療舉行普愛醫療線...
發布時間:2022-05-17 13:45:37

-
【重要通知】2022普愛線上醫療器械招商會增設分會場
醫療器械行業更迭,瞬息萬象,如何力破重圍,制勝未來?普愛醫療著力打造“終端+經銷商+營銷+售后服務”矩陣,實現共生共贏!“預見 視界”——2022普愛醫療器械招商會,于2022年5月13日15:00通過網絡形式召開。...
發布時間:2022-05-13 09:21:29

-
今日開播|2022普愛醫療線上合作研討會將增設分會場
很多關注普愛醫療的朋友們都知道,普愛醫療將在5月13日15:00-15:40,舉辦以“預見 視界”為主題的2022年普愛醫療線上合作研討會,研討會主題包括公司宣傳、產品推介、合作交流、客戶服務等。目前,線上合作研討會報名...
發布時間:2022-05-13 08:39:36

-
【醫療科普】之為什么說踝關節骨折手術復雜?
大家好,我是南京醫科大學第二附屬醫院骨科副主任醫師王伯堯,為什么說醫生遇到踝關節骨折會比較“頭痛”!接下來跟普愛醫療科普小編一起來了解下吧!...
發布時間:2022-05-12 09:09:22

-
倒計時2天丨普愛醫療合作研討會與您相約
5月13日9:00-17:00,以“預見 視界”為主題的2022年普愛醫療線上合作研討會,將全程線上直播,研討會主題包括公司宣傳、產品推介、合作交流、客戶服務等,其中的重點戲當然是我們的產品推介啦,本次研討會,除了會介紹...
發布時間:2022-05-11 13:53:26

-
邀請函|2022普愛醫療器械招商會還有2天開始了
預見 視界——2022普愛醫療器械招商會,于2022年5月13日15:00-15:40通過網絡形式召開,距離開始還有2天了。我們誠摯邀請您通過線上平臺參與合作研討會,一同探討醫療器械未來之路。...
發布時間:2022-05-11 08:43:59

-
倒計時3天|2022普愛醫療線上合作研討會,不見不散
在“互聯網+”時代大潮的感召下,各行業紛紛采用互聯網技術與先進的商業模式,對原有行業“升級換代”,釋放出新的經濟增長點。借助本年度新產品的陸續出新,國家政策引發的行業大轉型等契機,普愛醫療現計劃推出普愛醫療線上合作研討會...
發布時間:2022-05-10 09:48:24


